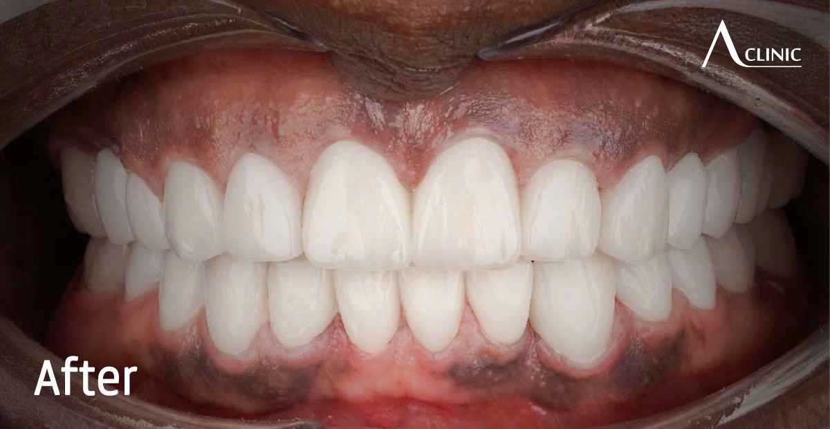
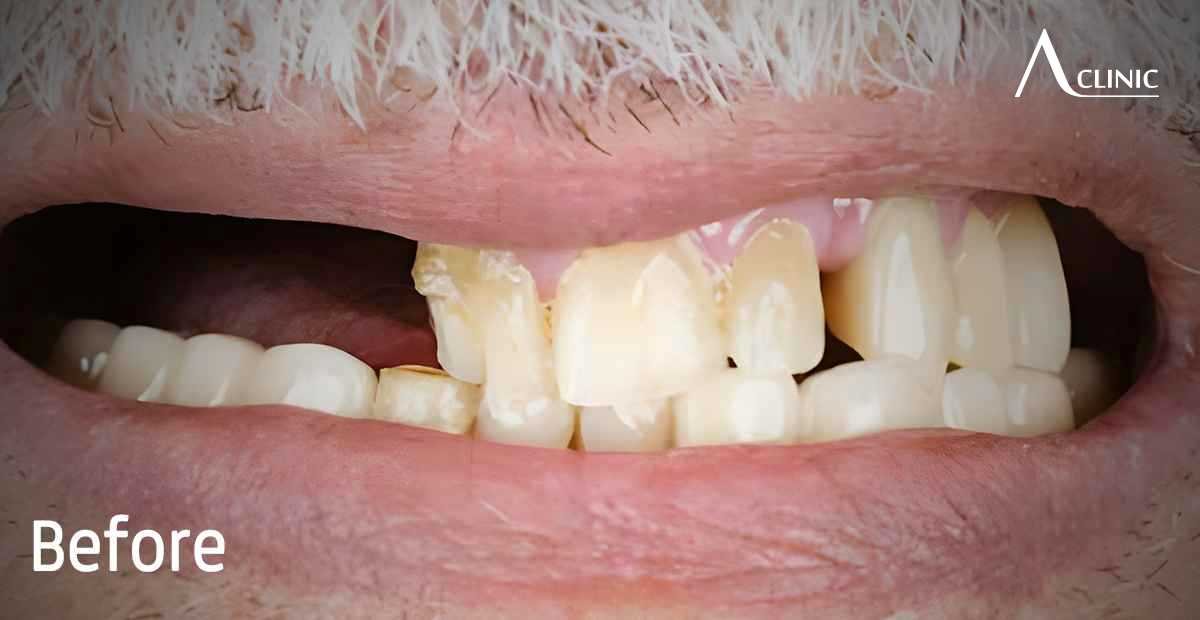
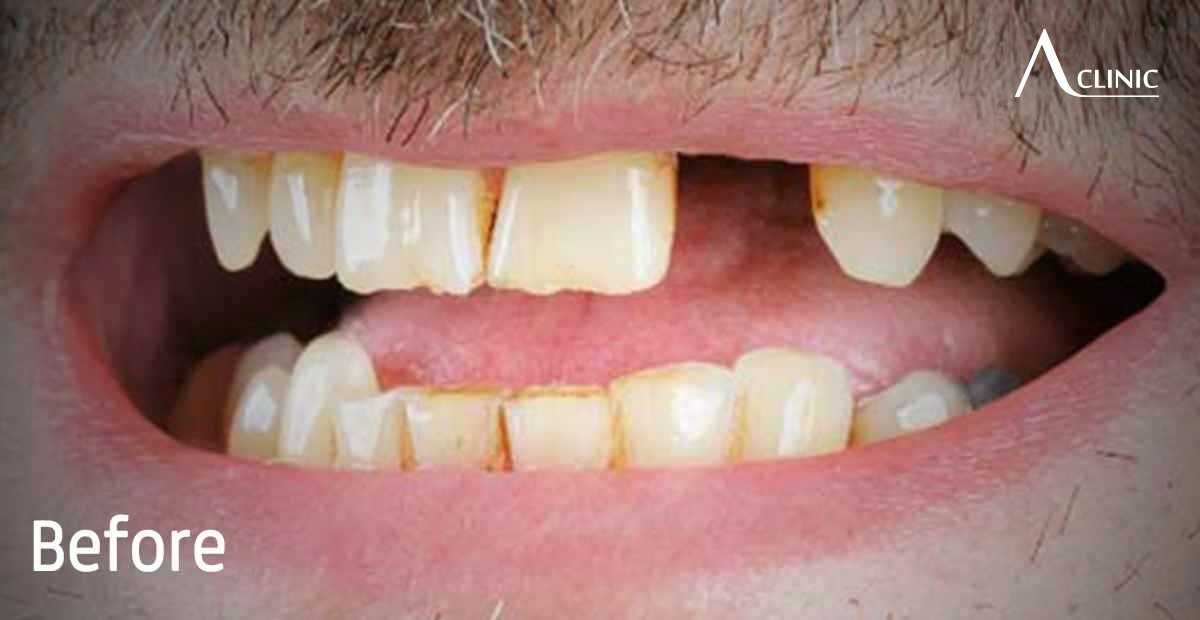
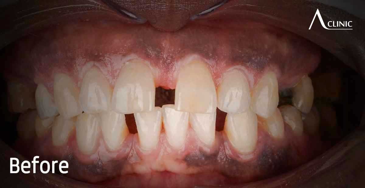
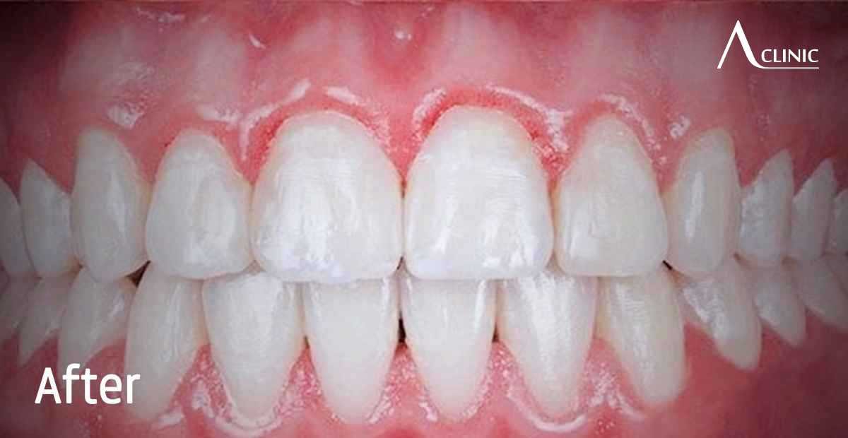
نقدم خدمات زراعة الأسنان بأحدث التقنيات لتعويض الأسنان المفقودة بثبات يدوم طويلًا، مع خطط علاج دقيقة تناسب كل حالة.
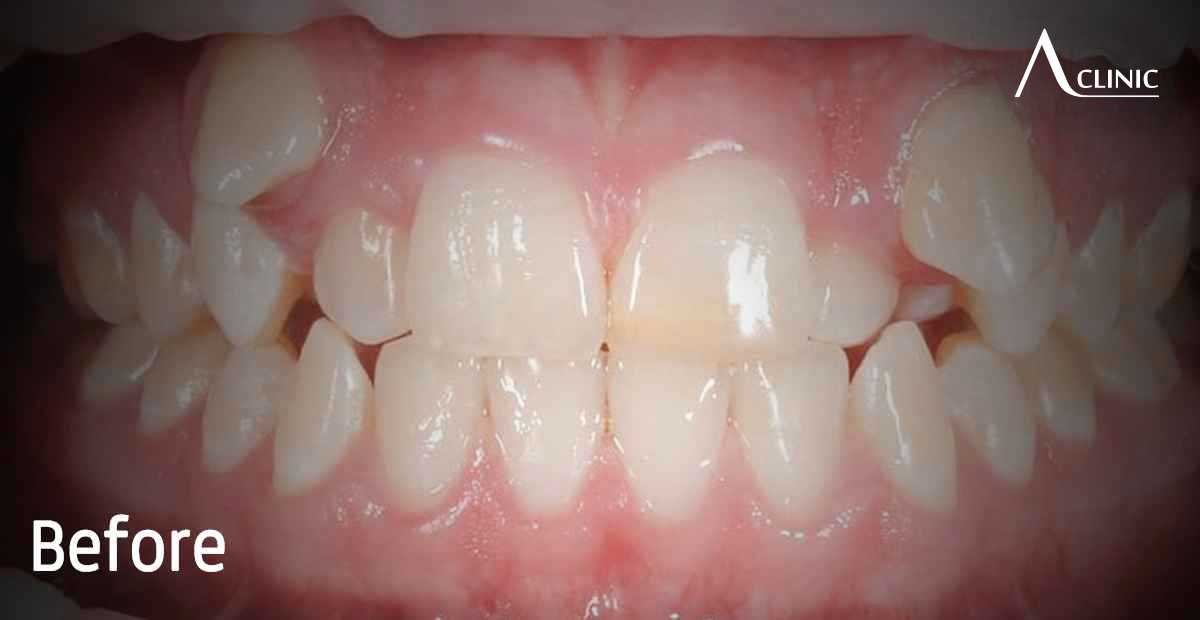
نوفر أيضًا تقويم الأسنان بمختلف أنواعه لتحسين انتظام الأسنان والمظهر العام للابتسامة , وللباحثين عن الجمال المثالي، نقدم ابتسامة هوليود المصممة خصيصًا حسب شكل الوجه والأسنان, جميع الإجراءات تتم بإشراف استشاريين أسنان متخصصين ووفق أعلى معايير التعقيم ,احجز استشارتك الآن لمعرفة أنسب حل لحالتك وتكلفته.





